Львовские врачи прооперировали пациента из Славянска, у которого нога сгибалась в разные стороны
Коллаж РБК-Украина: врачи во Львове прооперировали пациента из Славянска со сложным переломом ноги
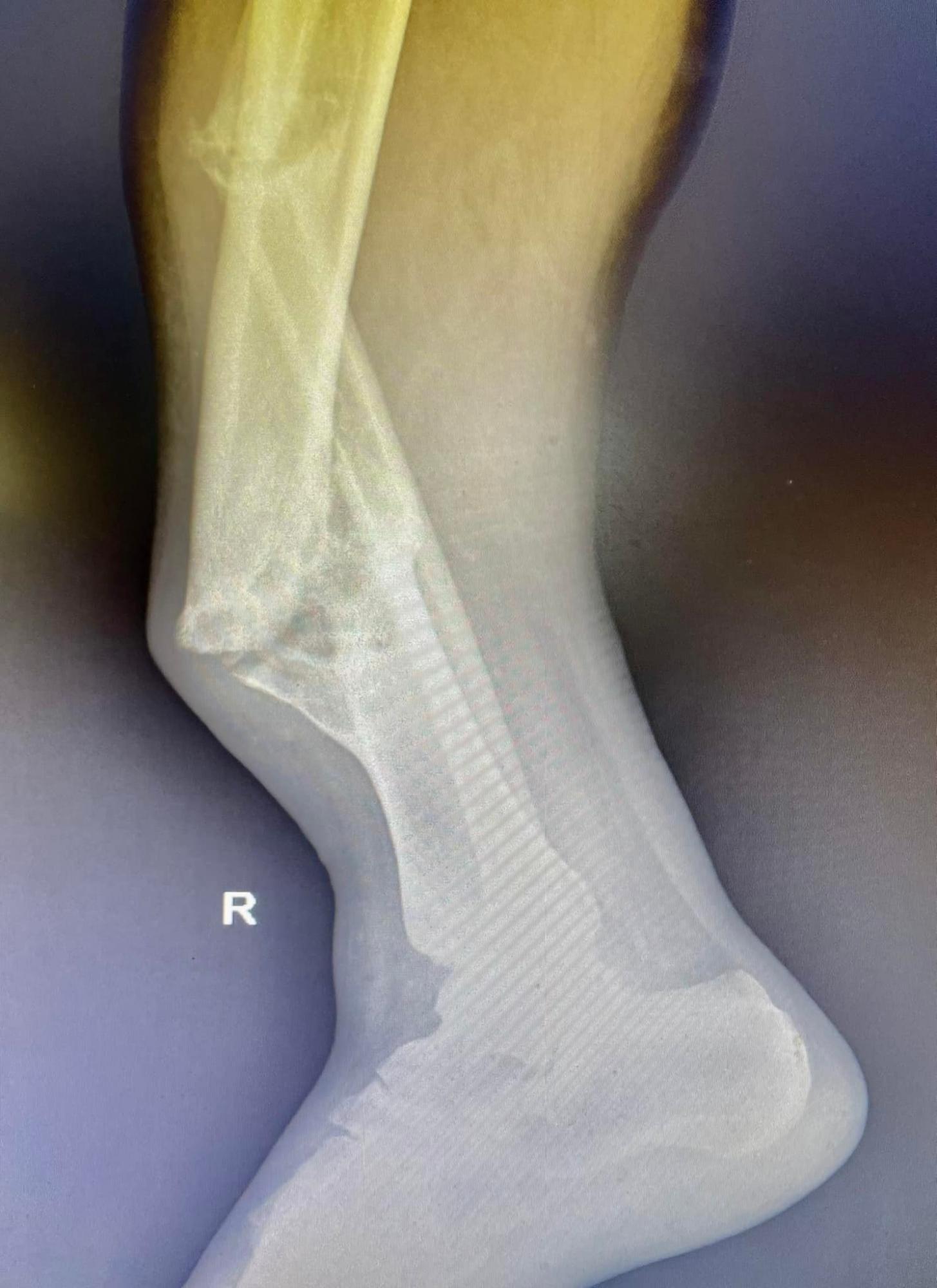
Во Львове хирурги провели операцию по удалению "фиктивного сустава" у жителя Славянска, который два года назад сломал ногу, отказался от лечения, и теперь его конечность сгибалась в разные стороны, а сам мужчина не мог ходить и уже потерял всякую надежду стать на ноги.
Об этом рассказали в Первом медицинском объединении Львова на странице в Facebook.
Также отмечается, что житель Славянска со своей семьей из-за травмы долго не смог покинуть город, который находился под вражескими обстрелами. Во Львов в апреле Павла привезли эвакуационным поездом. Через две недели он все же решился на операцию.
Как рассказали во львовском медучреждении, в 2019-м их коллеги в Славянске констатировали у Павла очень сложный перелом, который требовал операции и установки металлических конструкций. Мужчина тогда отказался.
"Полгода он лежал в гипсе, надеясь, что кости срастутся своими силами. Этого не произошло, более того - на месте перелома у него сформировался "ненастоящий сустав". Нога потеряла сопротивляемость и начала сгибаться под разными углами. Павел потерял работу", - говорится в публикации.


Павел из Славянска два года не мог ходить и уже потерял надежду встать на ноги (фото: facebook.com/1tmolviv)
Врачи отделения травматологии больницы Св. Луки Первого медобъединения Львова во время операции смогли избавиться от "фиктивного сустава", выровнять ось и длину концов и установить металлические конструкции (их оплатили благотворители).
После операции еще потребуется период реабилитации, при этом врачи заявляют, что через полгода пациент "будет не просто ходить, а даже будет бегать!"
"Не медлите с лечением, прислушивайтесь и доверяйте врачам, ведь ваше здоровье и жизнь - бесценны!" - подчеркивают медики.

После операции для полного восстановления ноги потребуется около 6 месяцев (фото: facebook.com/1tmolviv)
Напомним, перед этим мы писали, что в Ровно врачи подняли на ноги жительницу Мариуполя с переломом хребта. Женщина была вынуждена прыгать из окна горящего дома с полуторагодовалым ребенком под обстрелами, и сильно травмировалась.
Ранее мы рассказывали, что львовские врачи спасли 2,5-летнего мальчика из Краматорска Марка с крупной нетипичной опухолью. Медикам пришлось удалить образование вместе с пораженный почкой, а сама операция длилась 7 часов.