Прожила із зубом у бронхах понад півроку: лікарям у Львові вдалося врятувати жінку
У Львові жінка з понад півроку жила із зубом у бронхах (Колаж РБК-Україна)
До Львівського центру легеневого здоров'я звернулася жінка зі скаргами на виснажливий кашель, який не минає вже багато місяців, а часом і призводить до блювоти. З'ясувати причину цього кашлю не могли з липня 2022 року.
Деталі цієї історії розповіли на сторінці Центру легеневого здоров'я у Facebook.
Зуб виявили завдяки рентгену
З липня 2022 року пацієнтка страждала на виснажливий кашель, який приводив до блювоти. Вона неодноразово зверталася до медиків, але їй не могли призначити деякі обстеження через те, що вона нещодавно стала мамою та годувала дитину грудьми. Зокрема їй не могли зробити рентген.
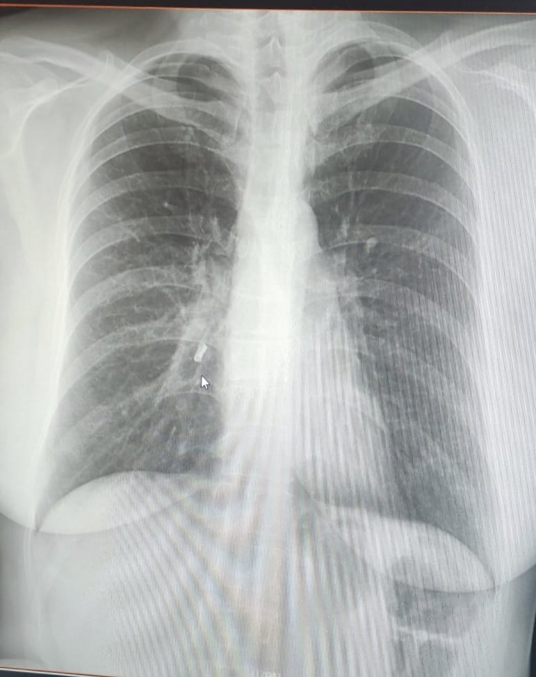
У Центрі легеневого здоров'я жінку оглянув лікар-пульмонолог та відправив її на додаткові обстеження. Рентген із контрастом показав, що в одному з бронхів знаходиться зуб.
Фото: facebook.com/cph.lviv
Як зуб потрапив у бронхи?
Історія подорожі цього зуба виявилася неймовірною. У пацієнтки були складні пологи - за допомогою кесаревого розтину і їй довелося робити екстрену інтубацію. Під час інтубації було пошкоджено частину зуба, і саме вона потрапила до бронхів жінки.
Фахівці Центру під місцевою анестезією видалили стороннє тіло за допомогою ендоскопічного кошика.
Завдяки діагнозу та оперативному втручанню, лікарі врятували жінці здоров'я та життя.
Фото: facebook.com/cph.lviv
До речі, раніше ми писали про те, що названо хвороби, від яких українці найчастіше вмирають.
А ще розповідали, що у Львові врятували чоловіка з дуже рідкісною патологією.
