У Дніпрі дитина проковтнула булавку: лікарі врятували незвичайним способом (фото)
Дитина проковтнула булавку у Дніпрі (колаж РБК-Україна)
У Дніпрі в лікарню потрапила дитина із булавкою в дихальних шляхах. Зокрема, шпилька встигла підколотися до трахеї, що ускладнило її вилучення.
Про це розповіли на сторінці Дніпропетровської обласної дитячої лікарні.
Як медики рятували дитину
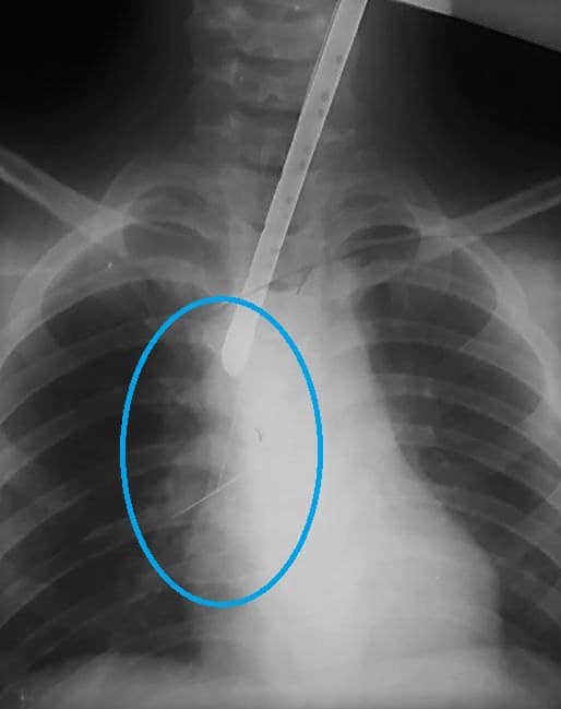
Так, дитина проковтнула шпильку, і під час діагностичного ендоскопічного дослідження виявилося, що вона підкололася до трахеї.
Зокрема, діставали сторонній предмет ціла бригада медиків. Спочатку вони намагалися її дістати за допомогою "петлі", але шпилька почала "мігрувати" вниз дихальними шляхами. Там до правого бронха вона підкололася до сегментарної бронхи й через необережний рух могла стати причиною ускладнень.
За словами медиків, вони прорахували різні варіанти розвитку подій та ухвалили вкрай нестандартне рішення, а саме ввести через жорсткий бронхоскоп гнучкий бронхоскоп.



Медики без операції дістали з бронхів дитини булавку (facebook.com/odkl.org)
Тому після певних обережних та повільних маніпуляцій їм вдалося видалити злощасну шпильку з дихальних шляхів маленького пацієнта та майже не травмуючи слизову ані бронха, ані трахеї.
Маленький пацієнт пробув ніч у лікарні, а на ранок його виписали додому.
"Всього участь у цій гостросюжетній "спецоперації" надскладного видалення стороннього тіла брали майже два десятки фахівців Дніпропетровської обласної дитячої клінічної лікарні - анестезіологи, реаніматологи, хірурги, ендоскопісти", - написали медики.
Раніше ми повідомляли, що у Дніпрі лікарі врятували породіллю з коронавірусом та онкологією.
Також ми писали, що на Закарпатті дитина ледь не померла від іграшки.