UA

Как выглядят легкие умершего от коронавируса: в сети показали шокирующие фото

Как выглядят легкие умершего от коронавируса: в сети показали шокирующие фото Коронавирус 2020 - как выглядят легкие умершего от коронавируса (twitter.com/JustForChange)

Коронавирус заметно влияет на легкие больного

Коронавирус 2020 стремительно распространяется по планете и уже добрался до Украины. Чтобы защитить себя от болезни следует выполнять правила безопасности, иначе могут возникнуть не самые приятные последствия. Об этом информирует Daily Mail.

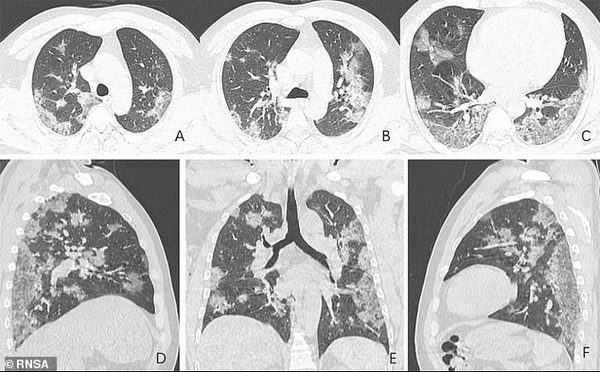
Так в сети появились рентгеновские снимки и сканы компьютерной томографии с изображением легких, которые принадлежали заболевшему коронавирусом. Радиологическое общество Северной Америки опубликовало снимки легких 44-летнего жителя Китая, работавшего на рынке в Ухане и умершего от COVID-19.

Китаец поступил в больницу в декабре 2019 года, поскольку около двух недель у него наблюдался сильный кашель и высокая температура. По итогу врачи диагностировали пневмонию и острый респираторный дистресс-синдром. Помочь пациенту не удалось, он скончался неделю спустя.

Как выглядят легкие умершего от коронавируса: в сети показали шокирующие фотоКоронавирус 2020 - как выглядят легкие больного

На фото видны все увеличивающиеся со временем белые пятна в нижней части дыхательных органов. Радиологи называют это симптомом "матового стекла", который отражает различные патологические изменения в легочной ткани.

Отмечается, что на фото заметно присутствие жидкости в легких мужчины, которое постепенно становится все более выраженным (проследить можно по изображению).

Напомним, что украинка из Китая рассказала о ситуации с коронавирусом. По ее словам, эпидемия пойдет на спад.

Также мы писали, что известный актер Том Хэнкс заболел коронавирусом.